Emergency Dentistry
Cracking the Code - How Stress Leads to Teeth Grinding and Cracked Teeth
In a world where stress is as common as a morning cup of coffee, its effects on our health are diverse and sometimes unexpected. One such impact, often overlooked, is on our dental health, specifically relating to cracked teeth and teeth grinding. This blog aims to shed light on the complex relationship between these conditions and how they intertwine with our daily stressors.
The Hidden Battle: Stress and Your Teeth
It's not just your mind that feels the weight of stress; your teeth do too. When stressed, many people subconsciously clench their jaws or grind their teeth, a condition medically known as bruxism. This habit, often unnoticed and performed during sleep, puts immense pressure on the teeth and jaws.
The mechanism behind this stress-induced reaction is deeply rooted in our body's natural response to stress. Under stress, our body goes into a fight-or-flight mode, causing physical reactions that include muscle tension. The jaw, being one of the common areas where stress manifests, leads to involuntary clenching and grinding. This can happen during the day, often unnoticed in the midst of our busy lives, and more prevalently at night during sleep.
The impact of this pressure is not trivial. Over time, it leads to the wearing down of tooth enamel, the hardest substance in the human body yet not indestructible. This constant grinding weakens the enamel, making it more susceptible to cracks and fractures. The enamel, once eroded, exposes the underlying dentin, leading to increased tooth sensitivity. Hot or cold foods and beverages can then cause discomfort or sharp pains.
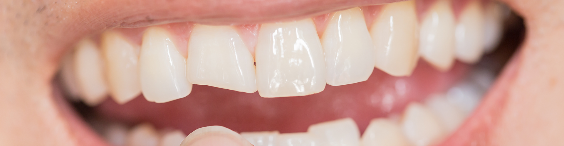
In more severe cases, the continuous pressure results in cracked teeth. These cracks can be subtle, sometimes invisible to the naked eye, but their effects can be deeply felt. Aside from tooth sensitivity, they can lead to discomfort while chewing or sudden sharp pain when biting down. Cracks can vary in severity from tiny fissures to complete fractures that extend down to the root.
If these issues are left untreated, they can lead to more complex dental procedures. In the case of severe cracks, a root canal might be necessary to save the tooth, or in some instances, an extraction may be the only solution. Furthermore, the presence of cracks can provide a haven for bacteria, leading to decay and infection, which can exacerbate the problem and necessitate further dental intervention.
The Cycle of Grinding and Cracking
The cycle is vicious: stress leads to grinding, which leads to cracking, which again can be a source of stress due to pain and dental concerns. This cycle can be hard to break, especially if the initial stressors remain unaddressed. Continuous grinding not only damages the teeth but can also lead to temporomandibular joint (TMJ) disorders, causing pain and dysfunction in the jaw joint and the muscles that control jaw movement. This adds another layer of complexity to the stress-teeth relationship, as TMJ disorders themselves can be a source of considerable discomfort and stress, perpetuating the cycle.
Breaking this cycle requires a multifaceted approach. It's not only about treating the dental symptoms but also about addressing the root cause – stress. This might involve lifestyle changes, stress management techniques, or even seeking professional help for chronic stress. In our next sections, we'll explore how to tackle these issues effectively to safeguard your dental health and overall well-being.
Understanding the Severity of Cracked Teeth
A cracked tooth is more than just a visual imperfection; it represents a significant threat to your oral health. These cracks, varying in size and severity, can lead to a range of dental complications. When a crack occurs, it creates an opening that can allow bacteria to infiltrate the tooth's inner layers. This bacterial invasion can lead to decay and infection, compromising the tooth's structural integrity and overall health.
The depth and location of the crack play a crucial role in determining the severity of the problem. Superficial cracks that affect only the enamel might not cause immediate discomfort, but they can weaken the tooth over time. Deeper cracks that extend into the dentin can cause sensitivity and pain, especially when exposed to hot, cold, or sweet stimuli. The most severe cases are when the crack reaches the pulp of the tooth, the area where nerves and blood vessels reside. This can result in significant pain, often necessitating immediate dental intervention. In such cases, a root canal may be required to remove the damaged pulp and save the tooth. However, if the crack extends below the gum line or is too severe, tooth extraction might be the only viable solution to prevent further complications.
Apart from these direct implications, cracked teeth can also lead to secondary issues. For instance, a crack can change the way you chew, leading to uneven bite pressure on other teeth. This can accelerate wear and tear on these teeth, potentially causing more cracks or other dental issues. Moreover, a cracked tooth can be a source of chronic discomfort, affecting your ability to eat certain foods and diminishing your quality of life.
The Risk Factors
While grinding due to stress is a significant contributor to cracked teeth, other factors also play a role. Chewing hard substances, like ice, hard candies, or even non-food items, can exert excessive pressure on teeth, leading to cracks. An uneven bite, where teeth do not align properly, can distribute biting forces unevenly, causing undue stress on certain teeth and increasing their vulnerability to cracking. Age is also a factor; as we grow older, our teeth naturally weaken and become more susceptible to cracks.
Environmental and lifestyle factors can also contribute. Sudden temperature changes in the mouth, such as eating something very hot immediately followed by something very cold, can cause rapid expansion and contraction of tooth enamel, leading to cracks. Accidents or trauma to the mouth, such as sports injuries or falls, are also common causes of cracked teeth.
Given the range of factors that can lead to a cracked tooth, it is essential to maintain good oral hygiene, protect your teeth during physical activities, and be mindful of the stress you put on your teeth daily. Regular dental check-ups can help identify potential issues early on, preventing the progression of minor cracks into serious dental problems.
Breaking the Vicious Cycle: Addressing Grinding and Stress
Managing teeth grinding requires a holistic approach, starting with addressing the underlying stress. Stress management techniques such as mindfulness meditation, regular exercise, and counseling can help reduce the subconscious urge to grind teeth. Additionally, visiting a dentist for a custom-fitted night guard can provide a physical barrier, protecting the teeth from the effects of grinding.
A Proactive Dental Approach
Regular dental check-ups play a crucial role in identifying and addressing early signs of grinding and cracking. Your dentist can suggest preventive measures, offer treatments for minor cracks, and help manage any existing dental issues related to bruxism.
Conclusion: Embrace a Stress-Free Smile
At Nu Dentistry Garden Oaks, we believe in a holistic approach to dental care, one that recognizes the impact of lifestyle factors like stress on your dental health. Our team is committed to not only treating the symptoms but also helping you understand and tackle the root causes of conditions like teeth grinding and cracked teeth. Your journey to a stress-free smile begins with us. Schedule your appointment today and take the first step towards a healthier, happier you.










































